学术动态
学术动态丨协和儿科联手高博南方春富为罕见免疫缺陷疾病提供全新治疗策略
本文内容转载自公众号【协和医生说】
6年前,年仅6岁的童童(化名)被确诊为重症系统性红斑狼疮,但经过规范治疗并未取得满意效果。两年后突发持续高热和咳嗽,又被确诊为噬血细胞综合征和肺泡蛋白沉积症。通过全面细致梳理患儿病史,北京协和医院儿科找到了童童全身多系统多发疾病背后的“元凶”——赖氨酸尿蛋白不耐受症(LPI)。面对传统的饮食疗法收效甚微的困境,儿科团队联合南方春富(儿童)血液病研究院,使用异基因造血干细胞移植治疗LPI。随访四年后团队发现,童童已经彻底恢复了健康。这一国际上首个通过异基因造血干细胞移植治疗LPI的成功案例,于近期发表在国际著名学术期刊《过敏及临床免疫学杂志》上。
困难重重
厚厚一本病历,与童童小小的个子极不相称。2017年,6岁的童童开始出现烦躁、间断谵妄,并出现过两次无热惊厥。详细查体发现,童童的免疫指标显著异常,肾穿结果回报为狼疮肾炎,同时伴有呼吸、血液、泌尿系统受累的症状。综合上述表现,童童被诊断为“系统性红斑狼疮”,需要接受激素和免疫抑制剂治疗。但即使经过规范治疗,病情控制仍不理想,童童的症状总是在激素减量后很快复发,即使又加用了环磷酰胺、霉酚酸酯、他克莫司等多种免疫抑制剂,病情仍然不能很好地得到控制。
2019年,童童病情再次反复,出现了持续高热、持续咳嗽、肝脾肿大、全血细胞减少等新症状。肺部CT显示广泛的磨玻璃样病变。结合新症状和相关化验结果,协和儿科作出“噬血细胞综合征+肺泡蛋白沉积症”的诊断。
为何这么多的重病都找上了这么小的一个孩子?童童的家属在痛苦中困惑着,儿科团队也在治疗中反复思索。在宋红梅主任的带领下,儿科团队对童童的病史进行了全面复盘和综合分析,发现了几个可疑之处:一是身高发育落后,进一步了解发现,还存在语言和社会能力发育落后。二是童童从小不喜欢吃高蛋白的食物,进食后容易腹泻,有一次进食炸鸡后,甚至出现了意识丧失伴高氨血症。三是存在呼吸道反复感染病史。这些隐藏的线索表明,童童的病因可能是遗传代谢方面的问题!
揪出真凶
儿科为童童完善了血尿代谢筛查和全外显子测序。尿筛提示尿赖氨酸、乳清酸、尿嘧啶明显升高,基因测序结果发现了SLC7A7复合杂合突变。至此,童童的原发病得到了明确诊断——赖氨酸尿蛋白不耐受症(LPI)。
LPI是一种罕见病,因机体无法分解和利用赖氨酸、精氨酸和鸟氨酸引起。患者在摄入含相关氨基酸的蛋白质后,会出现呕吐、腹泻、喂养困难、昏迷、发育停滞、肝脾肿大、肌张力减退导致全身无力等严重症状。此外,LPI还会导致引起系统性红斑狼疮、噬血细胞综合征等免疫系统异常的相关表现。该病已被列入我国《第一批罕见病目录》。
虽然诊断终于明确,但治疗始终没有明显进展。截至目前,LPI仍没有成熟的治疗指南,没有特效药,临床常用的疗法包括限制蛋白质摄入量、补充精氨酸和其他营养支持等。但童童的疾病不只是LPI这么简单,重症系统性红斑狼疮已经威胁到了她的生命,免疫缺陷导致反复感染,肾功能也持续恶化。
另辟蹊径
每一个小生命都是爸爸妈妈的希望,也承载着整个家庭的希望。虽然困难重重,但儿科团队选择正面迎战。
儿科免疫学专业组从LPI的发病机制入手,分析可能的治疗方案。在深入了解致病机理后,宋红梅主任邀请南方春富(儿童)血液病研究院李春富教授团队会诊。双方很快就治疗方案达成共识,认为虽然国际上尚无对LPI进行造血干细胞移植治疗的文献报道,但从发病机理上来看,异基因造血干细胞移植在治疗上有可行性;从既往经验来看,异基因造血干细胞移植在治疗其他代谢病中获得过成功,因此,这个方法值得一试。
儿科团队与童童家属深入沟通后,童童的父母同意对其进行异基因造血干细胞移植。李春富教授团队随即为童童顺利完成配型和移植。
移植后,童童回到协和儿科随访,变化令人欣喜。噬血细胞综合征表现迅速缓解,系统性红斑狼疮和肺泡蛋白沉积症的症状显著改善,肝脾明显缩小,代谢、免疫方面各项指标陆续从增高上百倍恢复到正常水平。
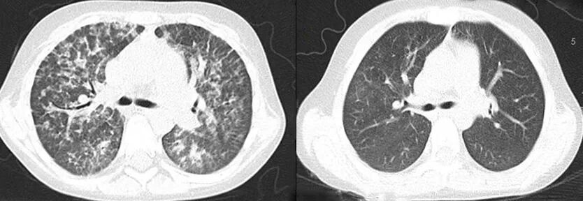
▲童童术前(左侧)和术后(右侧)的CT对比,肺泡蛋白沉积症状显著改善
今年已是童童移植后的第4个年头,儿科团队一直密切随访。在减停激素及免疫抑制药物后,她没有复发,也没有严重的移植相关排斥反应,身体状况始终平稳。更令人惊喜的是,童童的身高发育也开始追赶同龄人,她已经完全回归到正常的生活。
“这是国际上首例针对LPI患者进行造血干细胞移植治疗,治疗效果显著,为更多的罕见病患儿家庭带来了希望。”宋红梅表示。协和儿科团队也将这一研究结果以通信的形式发表在免疫学Q1区杂志《过敏及临床免疫学杂志》(Journal of Allergy and Clinical Immunology)(IF:14.29)上,为其他罕见代谢性和免疫系统异常性疾病提供新的治疗思路。
- 标签:
- 李春富

粤公网安备 44010602007701号